Alege Ortho Care

Gutiere Spark™ cu suport medical dedicat, pe tot parcursul tratamentului.

Comunici direct cu medicul tău. Oricând ai nevoie.

Tratament complet de la

10.000 RON* 

*ambele arcade, include controalele periodice

Pentru cine este potrivit Ortho Care?

Este pentru pacienții care vor mai mult decât un tratament standard.

Este potrivit pentru tine dacă:

  • vrei să comunici direct cu medicul tău specialist ortodont

  • vrei răspunsuri clare, atunci când apar întrebări sau nelămuriri

  • nu vrei perioade de așteptare sau incertitudine între controale

  • îți dorești ca tratamentul să fie ajustat la timp, nu la urmatorul control

  • vrei să știi ce urmează și să ai control pe tot parcursul tratamentului

Ce înseamnă Ortho Care, concret?

Pe lângă tratamentul cu gutierele Spark™, Ortho Care îți oferă mai mult.
Comunicare directă cu medicul tău, monitorizare continuă și control pe tot parcursul tratamentului.

Concret, Ortho Care înseamnă:

  • Acces direct la medicul tău ortodont
    Telefon, WhatsApp sau email. Fără filtre. Fără intermediari.

  • Suport continuu, nu doar la controale
    Medicul tău este alături de tine pe toată durata tratamentului.

  • Răspunsuri rapide la întrebări sau disconfort
    Nu aștepți următoarea vizită pentru clarificări.

  • Monitorizare atentă și ajustări la timp
    Tratamentul este urmărit constant și adaptat atunci când este nevoie.

  • Control pe tot parcursul tratamentului
    Știi ce urmează. Știi cine te ajută.

Ce este Spark™?

Spark™ este un sistem ortodontic avansat, dezvoltat de compania americană Ormco™, recunoscută la nivel internațional pentru soluțiile sale premium în ortodonție.

Tratamentul este conceput pentru pacienții care își doresc corectarea poziției dinților printr-o abordare modernă, digitalizată și discretă, fără utilizarea aparatelor dentare clasice.

Rezultate care redau încrederea

0 +
zâmbete transformate
Danta Roxana
google
Danta Roxana

Am avut o experiență foarte bună cu doamna doctor Roxana Tudorache. Fetița mea, în vârstă de 10 ani, a urmat un tratament ortodontic sub îngrijirea dânsei și totul a decurs perfect. De la prima consultație, doamna doctor a dat dovadă de profesionalism, răbdare și multă atenție la detalii. A reușit să creeze un mediu plăcut și relaxant pentru copil, explicând fiecare etapă pe înțelesul ei, ceea ce a ajutat foarte mult la cooperare și încredere. Rezultatele au fost excelente, iar noi suntem extrem de mulțumiți. Recomand cu toată încrederea!

Diana Arsenie
google
Diana Arsenie

Recomand din tot sufletul! 🤍 Doamnă doctor Roxana Iosib este o adevărată profesionistă: atentă, răbdătoare și mereu cu explicații clare. Pe tot parcursul tratamentului m-am simțit pe mâini bune, iar rezultatul final este peste așteptări. Am acum o dantură superbă și un zâmbet de care sunt foarte mândră. Mulțumesc pentru tot!

Geanina Aurelia
google
Geanina Aurelia

O recomand din suflet pe doamma doctor, are maini de aur! Cel mai mult am Apreciat la dânsa că discută în permanență cu tot ce face ,tot ce modifică și explică de ce ! Ceea ce nu toti doctorii o fac ! Aşa cǎ dacă vreti un ortodont de calitate care să nu tragǎ de timp si care să se ocupe profi de voi , Doamna Doctor Roxana e ce aveți nevoie ! Profund recunoscătoare de rapiditatea,grija și implicarea dânsei!

Stanescu Lucian
google
Stanescu Lucian

Am aparat dentar de aprox. 2 ani și sunt pe final. Cu doamna doctor Roxana Tudorache (Iosib) m-am simțit mereu în siguranță și ascultat. Este un medic calm, empatic și foarte atent la ceea ce face. Nu lucrează pe fugă, are răbdare și explică clar fiecare etapă, ceea ce mi-a dat multă încredere pe parcursul tratamentului. Pentru mine a contat enorm relația medic–pacient, nu doar rezultatul final, iar aici am simțit respect și implicare reală. Aș alege-o din nou fără să mai stau pe gânduri.

Concentratul
google
Concentratul

Inca exista oameni blanzi, radatori, frumosi. Doamna doctor Roxana s-a ocupat cu multa grija de mine pe parcursul tratamentului. A avut grija si nu m-a grabit niciodata cand am cerut o explicatie. Apelati cu incredere!

Oana Suciu
google
Oana Suciu

O experiență foarte plăcută! Doamna doctor are multă răbdare și se vede că îi pasă cu adevărat de pacienți. Recomand din inimă!

Alexandra Lehaci
google
Alexandra Lehaci

Am terminat tratamentul ortodontic și sunt extrem de fericită cu rezultatul. Atmosfera e relaxată, iar doamna doctor e un om minunat!

Tiberiu Matei
google
Tiberiu Matei

Profesionalism, seriozitate și grijă pentru pacient. Am apreciat foarte mult profesionalismul și calmul doamnei doctor Roxana Tudorache. Explică clar fiecare etapă a tratamentului, este atentă la detalii și inspiră încredere prin modul cald și răbdător în care comunică. Atmosferă plăcută, echipă organizată și rezultate excelente!

L. Filip
google
L. Filip

Am urmat un tratament ortodontic cu Spark. Nu aveam mari sperante, avand peste 30 de ani, dar rezultatele au fost peste asteptari, rapide, iar doamna doctor mi-a fost alaturi pe tot parcursul cu raspunsuri la toate intrebarile.

George Petre
google
George Petre

Servicii excelente și o echipa foarte bine pregatita. Mi-au placut organizarea, punctualitatea si modul in care dna. Doctor Roxana Tudorache explica fiecare etapa a tratamentului. Atmosfera este placuta si calma, iar rezultatele se vad rapid. Recomand cu incredere tuturor celor care cauta seriozitate si grija reala pentru pacient.

Mada
google
Mada

Foarte mulțumită, am terminat tratamentul cu spark, totul a decurs conform planului si in timpul estimat initial. Dna doctor este drăguță și profesionista!

Mihai B.
google
Mihai B.

Am apelat la clinica de ortodontie Dentalign pentru dureri de mandibula, dupa ce am fost la mai multi medici fara succes. Aici am primit un diagnostic clar si un tratament eficient cu gutiera ATM, iar imbunatatirea a aparut intr-un timp scurt.

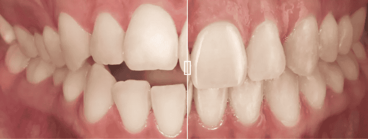
Spark™ - înainte și după tratament

39 de săptămâni de tratament
Tipul malocluziei: caz cu spațiere (distanțare între dinți)
61 de săptămâni de tratament
Tipul malocluziei: caz de mușcătură deschisă
30 de săptămâni de tratament
Tipul malocluziei: caz de mușcătură încrucișată
32 de săptămâni de tratament
Tipul malocluziei: caz de ocluzie inversă

Care sunt pașii tratamentului Spark™

Cazuri tratabile cu Spark™

Underbite

Spacing

Overbite

Open Bite

Deep Bite

Crowding

Cross Bite

Cum ne poți contacta?

Programare Ortho Care

Tratament ortodontic personalizat cu alignere Spark™

Prin completarea formularului sunt de acord cu Termenii și Condițiile și Politica de Confidențialitate.